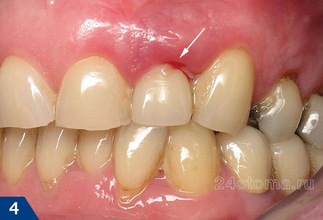
Oddiy tish kasali saraton keltirib chiqarishi mumkin
Finlyandiyalik olimlar parodontit saraton qo‘zg‘atishi mumkinligidan ogohlantirmoqdalar. Xelsinki universiteti tadqiqotchilari tomonidan 10 yil davomida og‘iz bo‘shlig‘ida turli muammolarga ega 68 ming nafar katta yoshli kishi kuzatib borildi. Ularning 14,45 foizi saraton sabab bu dunyodan ko‘z yumdi. Ishtirokchilarning 11,36 foizida parodontit kuzatilgan edi.
Professor Timo Sorsoning tushuntirishicha, bakteriyalar faqat milklarning o‘zini zararlash bilan cheklanmaydi, ular og‘iz orqali boshqa a’zolarga ham tarqaladi. Bu jarayonda nosog‘lom og‘izdan oshqozon-ichak trakti organlarida saratonni paydo qiluvchi fermentlar ajraladi.
Matnda xatolik topsangiz, o‘sha xatoni belgilab, bizga jo‘nating (Ctrl + Enter)
Bo'limga tegishli qiziqarli xabarlar
Fikr bildirish uchun qaydnomadan o'tishingiz so'raladi va telefon rakamni tasdiklash kerak buladi!
Mashhur aktyor o‘z kvartirasidan o‘lik holda topildi
Унинг энг эсда қоларли ролларидан бири Жим Керри ва Кэмерон Диаз билан бирга суратга тушган "Ниқоб" фильмидаги гангстер Дориан Тирелл роли эди.
FIFA Argentina terma jamoasini 2026 yilgi jahon chempionatidan chetlashtirishi mumkin
Бу ҳақда La Nacion газетаси хабар бермоқда.
DIQQAT! «Damas» va «Labo» haydovchilari ogoh bo‘ling!
Унга кўра, ўтказилган текширувлар натижасида мазкур маҳсулотларнинг сифати амалдаги стандарт талабларига жавоб бермаслиги аниқланган.
FIFA JCH-2026 qur’asi yuzasidan O‘zbekistonga murojaat qildi
ФИФА матбуот хизмати 2026 йилги жаҳон чемпионати қуръаси натижаларидан кейин Инстаграм орқали Ўзбекистон терма жамоасига мурожаат қилди.
Qarshida saunada faoliyat yuritgan fohishaxona aniqlandi
Махсус тадбир пайтида у порaнинг бир қисми ва ашёвий далиллар билан ушланган.
Hududlar “ertami kechmi” baribir Moskvaga tegishli bo‘ladi
Путиннинг ёрдамчиси Донбассдан ҳар икки томоннинг қўшинлари олиб чиқилишини истисно қилмади, бироқ ҳудудлар “эртами кечми” барибир Москвага тегишли бўлишини айтди.
Юрий Ушаков
Slot bilan mojaro yakunlanganidan keyingi dastlabki o‘yindayoq Saloh APL rekordini o‘rnatdi
"Ливерпуль" форварди Муҳаммад Салоҳ АПЛнинг 16-туридан ўрин олган "Брайтон"га қарши ўйинда бир клуб сафида энг кўп голларда иштирок этиш бўйича Англия Премьер-лигаси рекордини ўрнатди.
"Men bunday Yevropaning bir qismi bo‘lishni istamayman"
Бу ҳақда Роберт Фицо ўзининг Facebookдаги саҳифасида ёзди.
Messi Bollivud yulduzi Shohrux Xon bilan uchrashdi (foto)
Аргентина терма жамоаси ва "Интер Майами" юлдузи Лионель Месси Ҳиндистонга 3 кунлик ташриф билан келди.
"Real" rahbariyati Vinisiusga shart qo‘ydi: "Xohlasang shu, bo‘lmasa, ket!"
Мадриднинг "Реал" клуби ҳужумчи Винисиус Жуниор талабларини бажармоқчи эмас.
2026 yilda oylik, stipendiya, pensiya va nafaqalar oshiriladi
Пенсия тўловларига 86,1 трлн сўм, нафақаларга 14 трлн сўмдан ортиқ маблағ ажратилиши кутилмоқда.
O‘zbekiston bo‘ylab sovuq antisiklon va inversiya uzoqroq davom etadi
Мамлакат ҳудудида кузатилаётган совуқ антициклон таъсири 5 декабрга қадар сақланиб туриши кутилмоқда. Демак, 5 декабрь кунига қадар ёмғирдан дарак йўқ.
Temur Kapadze Indoneziya terma jamoasida qancha maosh oladi?
Ўзбекистон миллий терма жамоаси собиқ бош мураббийи Темур Кападзе Индонезия термасида иш бошлашга яқин турибди.
Fabio Kannavaro Italiya U-17 - O‘zbekiston U-17 o‘yiniga munosabat bildirdi
Ўзбекистон миллий терма жамоаси бош мураббийи Фабио Каннаваро бугунги Ўзбекистон U-17 - Италия U-17 ўйини олдидан ўз Instagram саҳифасига пост жойлади.
Sibirdan Orol dengiziga suv yo‘naltirilishi mumkin
Бу ташаббус “Қуруқлик сув ресурслари” бўйича илмий кенгашининг октябрь ойидаги йиғилишида кўриб чиқилган.
Sidneydagi terrorchining qo‘lidan avtomatni tortib olgan erkakning ahvoli qanday?
Бироқ шундан сўнг террорчи кўприк томонга қочиб, бошқа қуролдан яна ўқ узишни давом эттирган.
Hasanboy Do‘smatov navbatdagi rejasi haqida gapirdi va pulni nimaga sarflashini aytdi
Кеча Жаҳон чемпионатида ўзининг иккинчи олтин медалини қўлга киритган Ҳасанбой Дўсматов финалдан кейинги таассуротлари билан ўртоқлашди.
Ming afsus! AQShdagi otishmada o‘zbek talaba halok bo‘ldi
Бу ҳақда Ташқи ишлар вазирлиги расмий вакили маълум қилиб, марҳумнинг оила аъзолари ва яқинларига чуқур ҳамдардлик билдирган.
Avstraliyada Xanuka bayramini nishonlayotgan yahudiylarga hujum yuzasidan Isroil bosh vaziri munosabat bildirdi
Сизнинг ҳукуматингиз эса антисемитизмга қарши ҳеч нарса қилмади, деган Нетаняху.
Bekobodda IIB xodimi mashinada odam o‘ldirib qo‘yib, Sirdaryoga oqizib yuborgani aytilmoqda
Бекобод туманида ИИБ Жиноят қидируви бўлими ходими Nexia-3 автомашинасида 43 ёшли пиёдани уриб юбориб, унинг ўлимига сабаб бўлган.
Губернаторнинг сўзларига кўра, ўқувчилар якшанба куни кечқурун пляжда битирув маросимини нишонлаган.
Tramp Vashingtonda g‘alaba arkasi qurilishini e’lon qildi — CNN
АҚШ президентининг айтишича, арка Париждагига ўхшаш кўринишда, лекин ўлчамлари “бошқа аркаларни соясида қолдирадиган” даражада улкан бўлади.
Marokashdagi kuchli suv toshqinlari 37 kishining hayotiga zomin bo‘ldi
14-декабр куни Марокашнинг Сафӣ шаҳрида кучли ёмғирлар оқибатида сув тошқинлари юз берди.
Avstraliya hukumatlari qurol to‘g‘risidagi qonunlarni kuchaytirishni rejalashtirmoqda
Австралия бош вазири Энтони Албанезе Сиднейдаги Бонди-бич соҳилида содир этилган, 15 нафар инсон ҳалок бўлган ҳужумдан сўнг мамлакатда қурол тўғрисидаги қонунларни кучайтириш таклифи билан чиқди.
Los-Anjelesda Rob Rayner uyida ikki kishi o‘lik holda topildi
Лос-Анжелесда голливудлик актёр ва режиссёр Роб Райнерга тегишли уйда бир эркак ва бир аёл ўлик ҳолда топилди, деб хабар бермоқда маҳаллий оммавий ахборот воситалари.
Rossiya Belgiyaning Euroclear kompaniyasidan muzlatilgan aktivlar uchun qariyb 230 milliard dollar talab qilmoqda
Бу ҳақда ТАСС агентлиги хабар берди, деб ёзади «Европача правда».
Sidneydagi otishmada ravvin halok bo‘ldi
Полиция ҳужумнинг учинчи эҳтимолий иштирокчисини ҳибсга олди
G‘allaorol va Zafarobodda kelinlik sarpolari MIB tomonidan olib berildi
Аёллар ўзларига тегишли бўлган сарполарни собиқ турмуш ўртоқларининг уйларидан олиб кетишга уринганларида қаршиликка учраганлар.
Sidneydagi otishmani uyushtirganlardan biri pokistonlik muhojirmi?
Исроил ташқи ишлар вазири Гидеон Саар Сиднейдаги теракт сабаб чуқур қайғуда эканини билдирди
Sudanda armiyani qo‘llab ommaviy namoyishlar o‘tkazildi
Суданнинг бир нечта шаҳарларида минглаб одамлар армияни қўллаб кўчаларга чиқди. Бу намойишлар, давлат органлари чақирувига биноан, мамлакатдаги ҳарбий ҳаракатларни қўллаб-қувватлаш мақсадида ташкил этилди.
BMTdagi Falastinaning doimiy vakili: Isroil etnik tozalash va hujumlarni kuchaytirishni davom ettirmoqda
Исроил фаластин халқига нисбатан «ҳужумларнинг кучайиши»ни давом эттирмоқда. Бу жараёнга ишғол қилинган Ғарбий соҳил ҳамда Ғазо секторида ерларни босиб олиш, шунингдек «этник тозалаш» сиёсати ҳам киради.
Tailand Kambodja bilan chegara hududlarida komendantlik soati joriy qildi
Таиланд ҳукумати Камбоджа билан чегарадаги ҳудудларда комендантлик соатини жорий этди. Бу қарор чегарадаги тўқнашувлар кенгайиб, баҳсли ҳудудларнинг соҳилбўйи районларига ҳам тарқалаётгани билан изоҳланди, деб хабар бермоқда Reuters.
Vengriyada bolalarga nisbatan zo‘ravonlik mojarosi ortidan minglab odamlar norozilik namoyishi o‘tkazdi
Бу ҳақда Reuters агентлиги хабар бермоқда, деб ёзади European Pravda.
Toshkent viloyatida benzin bakida 30 kilodan ko‘proq opiy olib ketayotgan shaxs ushlandi
Натижада ўриндиқ ғилофи чўнтагида дастлабки вазни ўрами билан ҳисоблаганда 2 граммни ташкил қилувчи героин борлиги маълум бўлди.
Ruminiyada 40 yildan ortiq vaqt ichida birinchi marta moxov kasalligi qayd etildi
Бу мамлакатда касалликнинг илк расмий тасдиқланган ҳолати ҳисобланади.
«Eurovision 2024» g‘olibi Isroil sabab sovrinini qaytarib bermoqchi
«Eurovision 2024» ғолиби Исроилнинг 2026 йилги танловда иштирок этиши мумкинлиги ҳақидаги хабарлардан сўнг совринини қайтариб берди.
Boku shahrida 8 nafar o‘quvchi saqichdan zaharlandi
Мактаб маъмурияти тез ёрдам чақирган, ҳозирда ўқувчилар шифокорлар назоратида.
Qo‘shma Shtatlar Avstriya, Vengriya, Italiya va Polshaning Yevropa Ittifoqidan chiqishini istamoqda — Defense One
Defense One нашри АҚШ миллий хавфсизлик стратегиясининг ҳали эълон қилинмаган версиясига таяниб хабар беришича, Вашингтон Австрия, Венгрия, Италия ва Польша каби давлатлар билан “фаолроқ ҳамкорлик қилиш” орқали уларни Европа Иттифоқидан ажратишга интилаётгани қайд этилган.
Turkmaniston dunyoda metan chiqindilarining eng yirik manbasi deb topildi: xalqaro loyihalar uchun xatarlar ortib bormoqda
Американинг Stop Methane лойиҳаси маълумотларига кўра, 2025 йил январь–ноябрь ойларидаги спутник кузатувлари Туркманистонни нефть-газ секторида метан чиқиндилари бўйича дунёда етакчи мамлакат сифатида қайд этди.
